Gruber Dental
Dentist in Parsippany, NJ, and surrounded areas

CONGRATULATIONS DR. MICHAEL GRUBER & DR. ALEXA GRUBER

Congratulations Dr. Michael Gruber and Dr. Alexa Gruber as they have both been chosen again by their peers in 2024 as a "Top Dentist" in the annual New Jersey Monthly Magazine poll. 

For the past 17 consecutive years, Dr. Michael Gruber is only one of two General Dentists in the entire State of New Jersey to achieve this accomplishment. 

Dr. Alexa Gruber, for the second consecutive year, is one of the youngest dentists in New Jersey to receive this honor and we are extremely proud of her achievements.
 

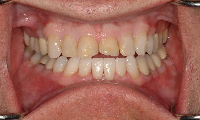
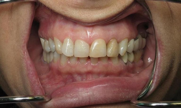
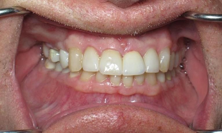
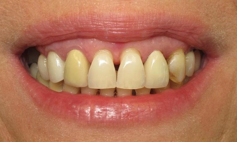
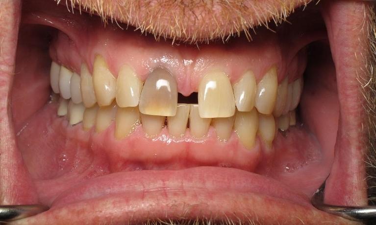
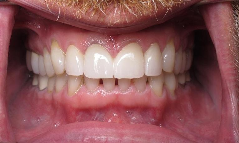
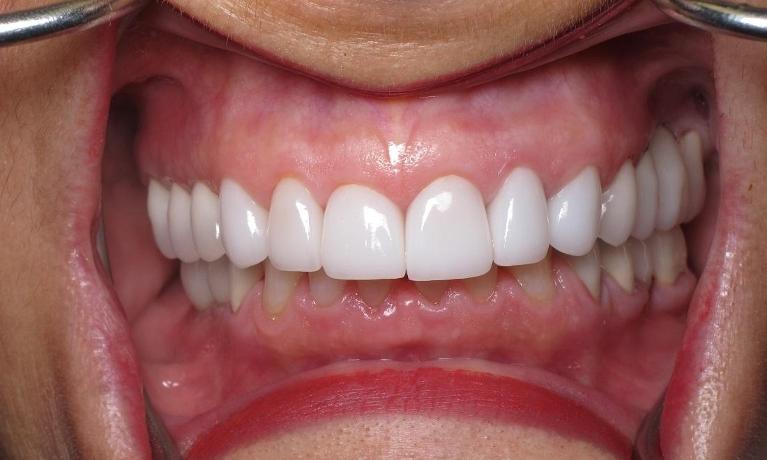
Smile Gallery

Modern dentistry is a combination of art and science. Take a look at what's possible by browsing our before and after gallery. If you are considering cosmetic dentistry, or if you need a new family dentist, just give us a call to get started.

Ready to book an appointment?
This office is very professional and caring

Dr. Gruber has been my dentist for 30 years and he is a wonderful dentist. I recently had extensive work done and he did an excellent job as I knew he would. Also, have to give my heartfelt thanks to Tina who was assisting with this. This office is very professional and caring. Very satisfied!
 
- Valerie N.
 

If you have difficulty using our website, please email us or call us at (973) 428-1515
View the ADA Accessibility Statement